В быту с ними сложно из-за характера, поведения и мировосприятия, в медицинской практике – из-за специфики физиологии. Пациенты 14–18 лет — особая, по-своему интересная категория в травматологии и ортопедии. В таком «пограничном» возрасте продолжается рост костей; костная ткань отличается по плотности и структуре; процессы метаболизма и регенерации активны, но зачастую непредсказуемы; организм чувствителен к любым вмешательствам и по-разному реагирует на них при дальнейшем развитии опорно-двигательного аппарата.
Всё это требует от травматологов-ортопедов предельной осторожности и индивидуального подхода: стандартные «взрослые» методики могут оказаться агрессивными, а «детские» - недостаточно эффективными. Поэтому для врачей Сургутской клинической травматологической больницы каждый такой пациент – это отдельный вызов и поиск оптимального варианта лечения.
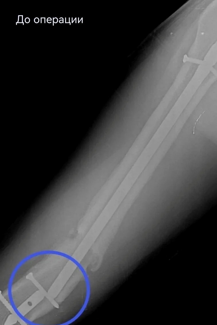
17‑летний Николай поступил с осложнением после операции по поводу перелома бедра. Ранее ему был установлен интрамедуллярный штифт – для фиксации отломков кости с возможностью ранней нагрузки на конечность. Но прежде, чем перелом консолидировался, штифт сломался. Врачам нужно было найти новое, более подходящее решение, при этом избежать травматичного открытого доступа и обойтись без больших разрезов. Задачу усложнял сломанный внутри кости штифт. Специального серийного устройства для его удаления малоинвазивным способом не существует. Чтобы пройти 40 сантиметров по костномозговому каналу, захватить и извлечь фиксатор, сургутские специалисты создали свою систему на базе имеющего набора проводников и экстракторов. Тщательное предоперационное планирование принесло желаемый результат в ходе вмешательства.
После успешного удаления прежней конструкции пациенту установили новую надежную систему - с учётом предыдущего опыта. Для этого понадобилось несколько небольших разрезов (не более 2 см). На второй день после операции Николай передвигался по отделению с помощью костылей, уже нагружая оперированную конечность. Сейчас он внимательнее прислушивается к рекомендациям, от выполнения которых зависит благополучие восстановительного периода.
Этот клинический пример подчёркивает ключевую особенность работы травматологов‑ортопедов: умение выходить за рамки стандартных протоколов, когда этого требует ситуация. Профессионализм команды — в способности анализировать, комбинировать методики и конструировать новые технические решения в процессе подготовки к операции. В результате несовершеннолетний пациент получил лечение, максимально учитывающее его индивидуальные особенности и текущее состояние, а также приступил к реабилитации в раннем послеоперационном периоде.



